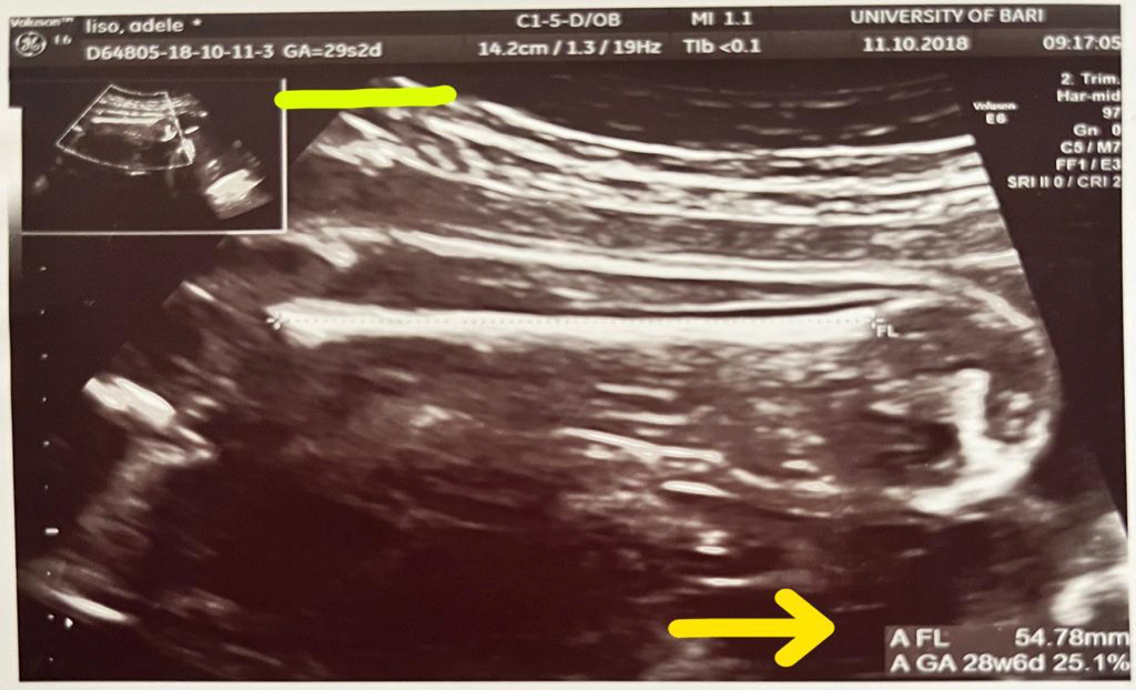
La lunghezza del femore (in millimetri) viene indicata con "FL" su tutte le ecografie.

Inserisci qui sotto il valore che leggi sull'ultima ecografia che hai effettuato 🙂

MANCA SOLO UN ULTIMO PASSAGGIO!

Compila il form qui sotto e in pochi secondi riceverai il risultato del Quiz

Scopri qual è la taglia ideale per la sua prima tutina e come offrirgli la stessa comodità e sicurezza anche fuori dal grembo materno:

Stiamo elaborando il risultato...